Book Free Session on WhatsApp or Call   +91  77000  04970

Transformation

#phismile transformation

Displaying work of our smile architect
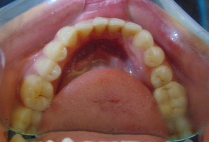
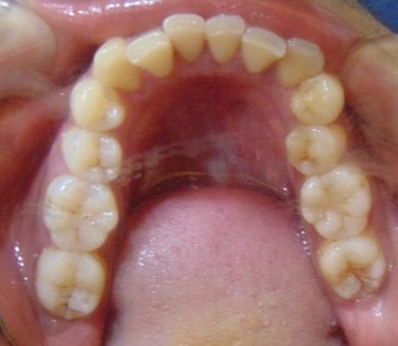
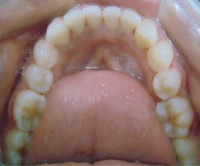
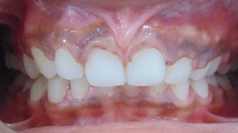
Before
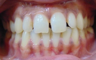
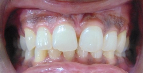
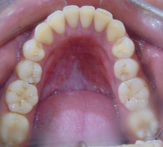
After
Image 1
Image 1
Image 2
Image 2
Image 3
Image 3
Jhanvi S, 23Y, Duration - 10Months
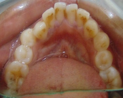
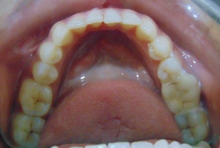
Before
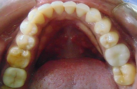
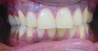
After
Image 1
Image 1
Image 2
Image 2
Image 3
Image 3
Vandana F, 30Y, Duration - 8Months
Before
After
Image 1
Image 1
Image 2
Image 2
Image 3
Image 3
Vineet D, 27Y, Duration - 9Months
Before
After
Image 1
Image 1
Image 2
Image 2
Image 3
Image 3
Swapnil D, 34Y, Duration - 6Months