Book Free Session on WhatsApp or Call   +91  77000  04970

Transformation

#phismile transformation

Displaying work of our smile architect
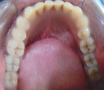
Before
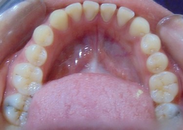
After
Image 1
Image 1
Image 2
Image 2
Image 3
Image 3
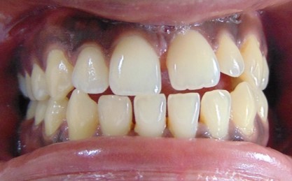
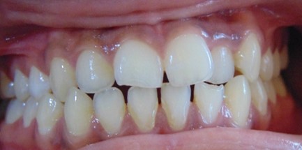
Nihal J, 16Y, Duration - 10Months
Before
After
Image 1
Image 1
Image 2
Image 2
Image 3
Image 3
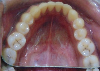
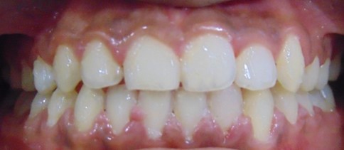
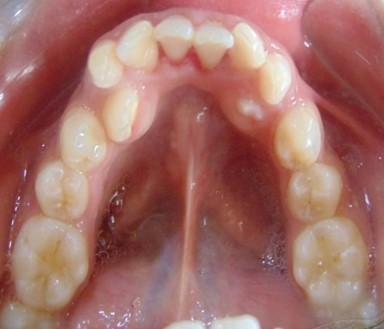
Sushant B, 24Y, Duration - 10Months
Before
After
Image 1
Image 1
Image 2
Image 2
Image 3
Image 3
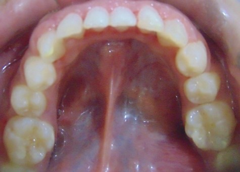
Bhavya K, 16Y, Duration - 11Months
Before
After
Image 1
Image 1
Image 2
Image 2
Image 3
Image 3
Shubadha D, 21Y, Duration - 11Months